Caso ClĂnicos
Caso de implantes
Puente sobre implante

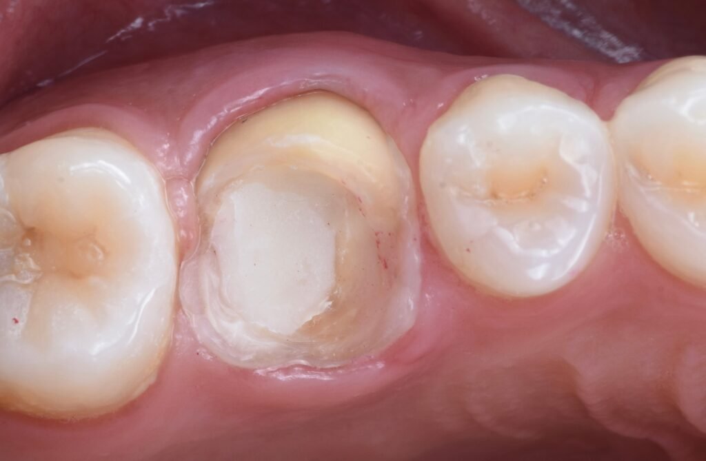
Corona sobre implante

Corona sobre implante

Puente sobre implante

Protesis hĂbrida sobre implante

Protesis hĂbrida sobre implante

Protesis sobre implante

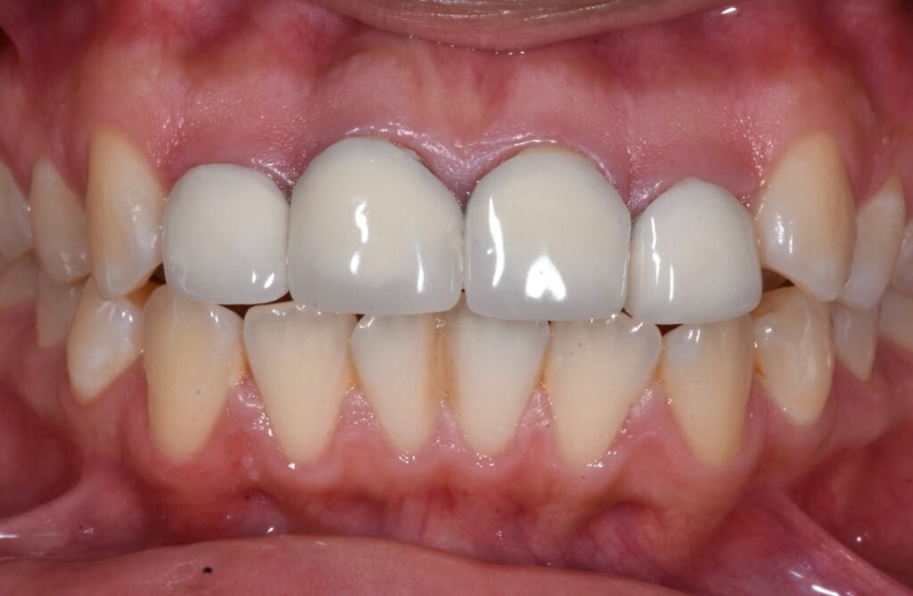
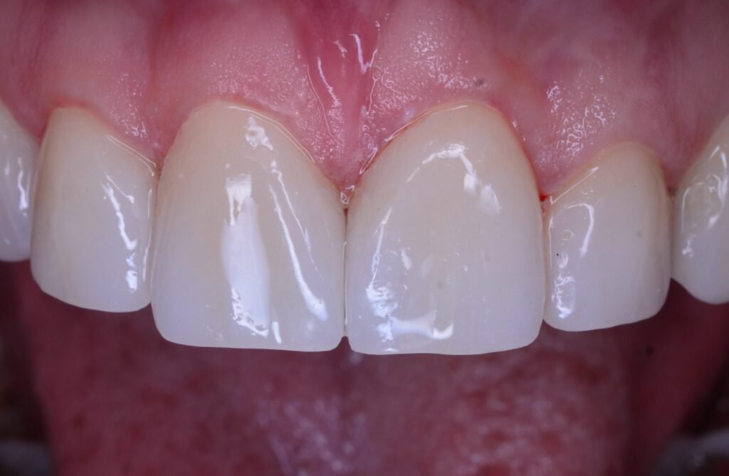
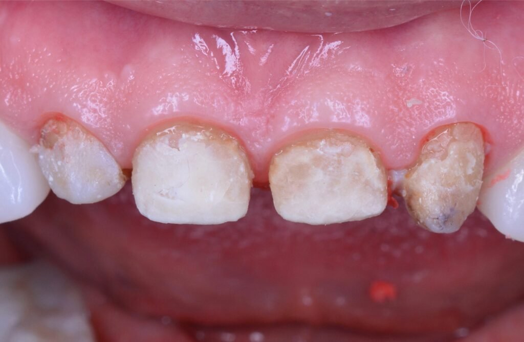
Diseño de Sonrisa
Contáctenos
Horario
Lunes a Viernes 8:30 am – 5:30 pm
Sábado 8:30 am – 12:00 pm



















